Rifa para ajudar na cirurgia do Kadu






INFORMAÇÕES DA RIFA
- Criado porTayane R Vieira
- Valor da rifa R$ 10,00
- Sorteio 1 Bilhete(s)
- CategoriaAnimais de estimação
- EstadoRio de Janeiro
Pix
R$300,00
Rifa solidária para ajudar ao meu cachorro Kadu a fazer a cirurgia 🙏🏽
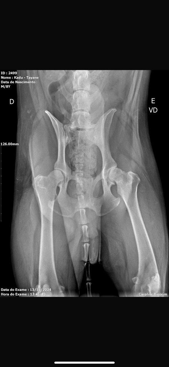
Sendo bem breve, o Kadu está com dois problemas de saúde um pouco avançados :
Displasia coxofemoral, que é uma doença que afeta a articulação do quadril do animal, causando dificuldade de se movimentar (andar, saltar, levantar) e degeneração articular.
Protrusões nos discos da coluna vertebral, o que está causando MUITA dor a ele 😕
A cirurgia está em média 6 mil reais, então essa rifa será 100% direcionada a ajudar a pagar os custos da mesma.
Conto com a ajuda de todos e desde já agradeço muitíssimo pelo carinho! 🙏🏽❤️🩹
Essa rifa foi finalizada! 🎉
A rifa chegou ao fim e queremos agradecer a todos que participaram!
Seu apoio foi essencial para o sucesso desse sorteio.
O grande sorteio foi realizado com total transparência, e o vencedor já foi definido!
Número(s) sorteado(s): 279
Fique ligado! Em breve, teremos novas rifas incríveis com prêmios imperdíveis esperando por você.
Quer ser o primeiro a saber das próximas rifas? Continue nos acompanhando e não perca a chance de ganhar prêmios incríveis!

A RifeMe trabalha com muito carinho em cada rifa para garantir a segurança e credibilidade de todo o processo. Por isso acompanhamos o resultado das rifas, e a devida entrega dos prêmios aos vencedores. Caso seja identificada fraude por parte do vendedor, os compradores receberão de volta todo o dinheiro que pagaram. Isso traz mais credibilidade para o RifeMe e, consequentemente, para sua rifa.